欢迎您来到宁波市鄞州医药药材有限公司!
 
今天是:2026/1/20 6:37:04
 
宁波市鄞州医药药材有限公司 | 宁波明州医药有限公司
 
查询账号:
登陆密码:
 
验证码: 验证码
 
 
 
 
 
国内热点
您当前所在的位置: 首页 > 国内热点
 

体检查出肺结节,离肺癌还有多远?

日期:2017/5/8

肺部结节等于肺癌吗?如果不是,那它恶性的几率有多大?



作者 | 雪梨医生 中山大学附属第一医院呼吸内科 

来源 | 青年健康新视点


“医生,我体检拍CT发现肺部有个结节,是不是肺癌啊?!”



几乎每一次门诊,都会有病人拿着体检报告忧心忡忡地前来就诊。大家都知道肺癌是恶性肿瘤,是绝症,但肺结节到底是个什么玩意儿,也是肿瘤吗?它跟肺癌有什么关系,发现肺结节应该怎么办?


今天视点君给大伙儿科普一下。


什么是肺结节?


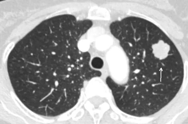
是指肺内直径≤3cm的密度增高影,通俗讲就是CT上黑色的肺里有小白点。>3cm的白色块状影称为肺肿块,通常肿瘤的可能性很大。


结节直径≤3cm


结节直径>3cm


肺结节=肺癌?


不等于,不等于,不等于!(敲黑板)


肺结节分为良性结节和恶性结节,前者是感染肺炎、肺结核等痊愈后留下的疤痕,也有可能是良性肿瘤,恶性结节则包括肺癌、淋巴瘤、转移癌等。


那么,在那么多肺结节中,恶性的占比到底有多大?


美国有一个大型肺癌筛查研究发现,肺结节中96.4%为良性,也就是说,只有不到4%的肺结节是癌症。[1]


喏,就是它说的↓


我是不是那4%的倒霉鬼?


首先要看你是否具备患癌高危因素:


1.年龄大于40岁;


2.吸烟(包括曾经吸烟);


3.以前得过胸部肿瘤;


4.结节有恶性表现(结节较大,越大恶性可能越高);


5.有毛刺;


6.位于上叶。


当然了,疾病的发生也并非绝对,即使你成功避开了以上所有危险因素,也不代表着你的肺癌患病概率就一定为0;同样地,有些农村老伯吸烟凶得很,眼看着肺癌危险因素占了大半,也有照样健康活到90岁的。


正如努力了不一定成功,而有些学霸考前突击一周也比勤勤恳恳复习了仨月的学渣高分。(这个比喻让视点君有点小忧桑……)


发现肺结节,应该怎么办?


具体情况具体分析:


① 高危结节(≥15mm或8-15mm且CT有恶性表现):建议进一步PET/CT、穿刺活检或者直接手术切除。


② 中低危结节:建议定期复查。因为结节较小时鉴别良恶性非常困难,检查手段有限,总不能为了不漏掉4个而让96个白白挨刀子吧。


应该如何复查?


一般来说,3-12月后复查胸部薄层低剂量CT平扫+三维重建,最好在同一家医院检查以便于图像对比。具体随访的间隔需要结合每个患者具体情况,由接诊的医生决定。


对于单个结节而言,随访两年,如果结节的大小、密度没有发生明显变化,也即为稳定结节,可以终止复查。但肺内存在多个结节的情况,总观察期需要延长至5年。


随访过程中结节会变成肿瘤,甚至转移吗?


研究表明,肺癌长大一倍平均需要30-400天,甚至更长,按照上述原则随访一般不影响治疗效果。[2]


总结:


肺里长了不明不白的东西确实令人闹心,但肺结节不意味着肺癌,也不全表明我们离肺癌更近了一步,这和着名的“乙肝→肝硬化→肝癌”肝癌三部曲还是有本质上的区别的。况且,肺脏中的“好人”比“坏人”多得多呢。


此外,我们还需要明确一点,把“坏人”及时揪出来是关键,但想在“坏人”还没留下明确证据前缉凶却是很困难的,需要定期复查胸部CT观察结节变化,定期复查不影响治疗效果。


等到时机成熟,再把恶性肿瘤一锅端。做到不错杀一个好人,也不放过一个坏人。


参考文献:

[1]doi:10.1056/NEJMoa1102873

[2]doi: 10.1016/j.lungcan.2006.08.006


肺部结节等于肺癌吗?如果不是,那它恶性的几率有多大?



作者 | 雪梨医生 中山大学附属第一医院呼吸内科 

来源 | 青年健康新视点


“医生,我体检拍CT发现肺部有个结节,是不是肺癌啊?!”



几乎每一次门诊,都会有病人拿着体检报告忧心忡忡地前来就诊。大家都知道肺癌是恶性肿瘤,是绝症,但肺结节到底是个什么玩意儿,也是肿瘤吗?它跟肺癌有什么关系,发现肺结节应该怎么办?


今天视点君给大伙儿科普一下。


什么是肺结节?


是指肺内直径≤3cm的密度增高影,通俗讲就是CT上黑色的肺里有小白点。>3cm的白色块状影称为肺肿块,通常肿瘤的可能性很大。


 

结节直径≤3cm


结节直径>3cm


肺结节=肺癌?


不等于,不等于,不等于!(敲黑板)


肺结节分为良性结节和恶性结节,前者是感染肺炎、肺结核等痊愈后留下的疤痕,也有可能是良性肿瘤,恶性结节则包括肺癌、淋巴瘤、转移癌等。


那么,在那么多肺结节中,恶性的占比到底有多大?


美国有一个大型肺癌筛查研究发现,肺结节中96.4%为良性,也就是说,只有不到4%的肺结节是癌症。[1]


喏,就是它说的↓


我是不是那4%的倒霉鬼?


首先要看你是否具备患癌高危因素:


1.年龄大于40岁;


2.吸烟(包括曾经吸烟);


3.以前得过胸部肿瘤;


4.结节有恶性表现(结节较大,越大恶性可能越高);


5.有毛刺;


6.位于上叶。


当然了,疾病的发生也并非绝对,即使你成功避开了以上所有危险因素,也不代表着你的肺癌患病概率就一定为0;同样地,有些农村老伯吸烟凶得很,眼看着肺癌危险因素占了大半,也有照样健康活到90岁的。


正如努力了不一定成功,而有些学霸考前突击一周也比勤勤恳恳复习了仨月的学渣高分。(这个比喻让视点君有点小忧桑……)


发现肺结节,应该怎么办?


具体情况具体分析:


① 高危结节(≥15mm或8-15mm且CT有恶性表现):建议进一步PET/CT、穿刺活检或者直接手术切除。


② 中低危结节:建议定期复查。因为结节较小时鉴别良恶性非常困难,检查手段有限,总不能为了不漏掉4个而让96个白白挨刀子吧。


应该如何复查?


一般来说,3-12月后复查胸部薄层低剂量CT平扫+三维重建,最好在同一家医院检查以便于图像对比。具体随访的间隔需要结合每个患者具体情况,由接诊的医生决定。


对于单个结节而言,随访两年,如果结节的大小、密度没有发生明显变化,也即为稳定结节,可以终止复查。但肺内存在多个结节的情况,总观察期需要延长至5年。


随访过程中结节会变成肿瘤,甚至转移吗?


研究表明,肺癌长大一倍平均需要30-400天,甚至更长,按照上述原则随访一般不影响治疗效果。[2]


总结:


肺里长了不明不白的东西确实令人闹心,但肺结节不意味着肺癌,也不全表明我们离肺癌更近了一步,这和着名的“乙肝→肝硬化→肝癌”肝癌三部曲还是有本质上的区别的。况且,肺脏中的“好人”比“坏人”多得多呢。


此外,我们还需要明确一点,把“坏人”及时揪出来是关键,但想在“坏人”还没留下明确证据前缉凶却是很困难的,需要定期复查胸部CT观察结节变化,定期复查不影响治疗效果。


等到时机成熟,再把恶性肿瘤一锅端。做到不错杀一个好人,也不放过一个坏人。


参考文献:

[1]doi:10.1056/NEJMoa1102873

[2]doi: 10.1016/j.lungcan.2006.08.006

 

信息来源:医学界

公司地址:浙江省宁波市鄞州区嵩江西路321号  传真:0574-27788216
版权所用:宁波市鄞州医药药材有限公司 | 英特明州(宁波)医药有限公司  技术支持:奇才科技
药品成药分公司:0574-27788200 27788220 英特明州(宁波)医药有限公司:0574-28831176 28831172
中药参茸分公司:0574-27788238 27788248

浙公网安备 33021202000691号

浙ICP备13032370号